Bring the Power of AI to Your LEAP System
LEAP + Image-Pro AI
Media Cybernetics and Laxco have partnered to bring you LEAP AI—combining the precision of Accuva LEAP optics with the power of Image-Pro's AI analysis.
With LEAP AI, our advanced image analysis software is directly connected to Laxco's Accuva LEAP system, so you can focus on breakthroughs instead of busywork.
Efficient AI-Powered Analysis
Designed specifically for analysts that need rapid, trusted results, Image-Pro organizes your analysis routines into a few easy steps and leverages pre-trained deep learning networks to segment and measure your data accurately at scale.
Streamlined Workflows, Reliable Results
With an ever-expanding library of Life Science protocols, you waste no time getting started with your analysis. While other software has you spend hours writing code or building workflows, protocols are batch process ready with a single click.
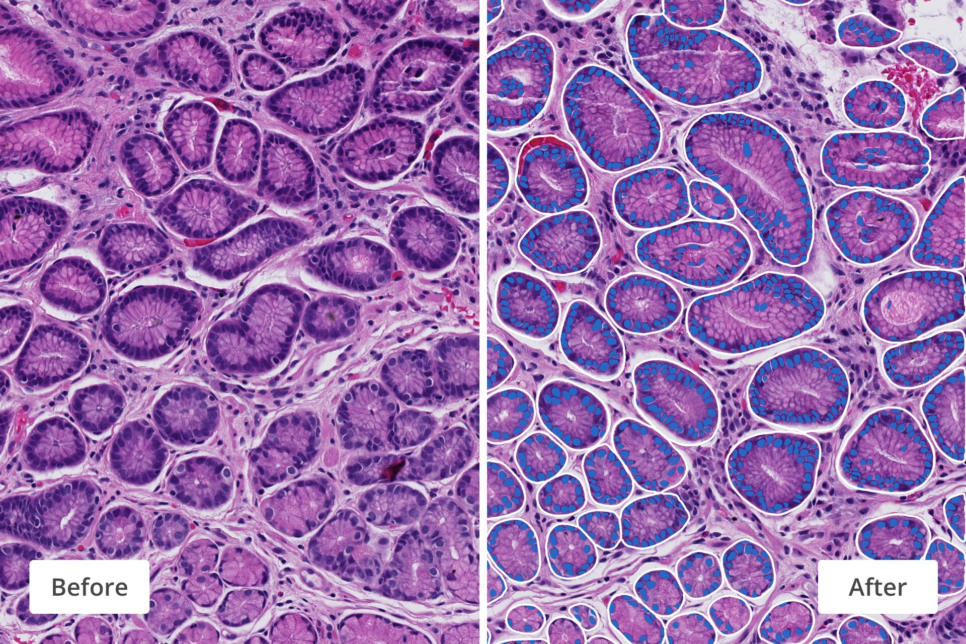
AI-Powered Accuracy You Can Trust
Harness next generation Deep Learning technology to unlock image segmentation accuracy that you never thought possible. Use pre-trained AI models to make analysis easy and overcome user-to-user variability.
Visualize and Explore Data in Real Time
Collect and visualize data in real time to gain immediate insights and monitor your experiments as they happen. Advanced tools help you explore complex datasets with clarity and precision.
Turn Results into Actionable Reports
Analyze and export results effortlessly, then create flexible reports that clearly communicate your findings. Share your data with colleagues or stakeholders in formats that suit your workflow.
Expert Support for Your Peace-of-Mind
Get expert support to maximize your investment. Our imaging specialists provide quick answers, fast issue resolution, and keep your system performing at its best.
Add-Ons Unlock More Power
Optional modules like AutoQuant Deconvolution and 3D Visualization & Analysis let you expand the power of your package, adding advanced tools and features to tackle even more complex analyses with ease.
One Integrated System, Every Tool You Need
Image
Acquire crisp images with the LEAP platform and import directly into Image-Pro.
Process
Easily stitch, colorize, enhance, and align images for seamless, high-quality.
Measure
Simplify analysis with AI segmentation and intuitive, protocol-driven workflows.
Report
Generate clear, customizable data outputs and visual summaries.
What Researchers Gain with LEAP AI
Laxco’s LEAP platform and Image-Pro’s intelligent image analysis software work together to accelerate discoveries, improve accuracy, and empower confident research outcomes.
Streamlined Workflow
Fewer manual steps, reduced errors, and more efficient research time.
Sharper Accuracy & Reproducibility
High-quality capture with AI-driven analysis reveals hidden details.
Confidence in Results
Trust your data with tools designed for high-end scientific applications.
Accelerated Discoveries
Move seamlessly from imaging to analysis to insights.
Built for Breakthroughs Across the Sciences
From cell biology to pathology, LEAP AI supports a wide range of applications—helping researchers push the boundaries of discovery.
Cancer Research
Developmental Biology
Drug Discovery



Contact
Media Cybernetics
sales@mediacy.com
Laxco, Inc.
sales@laxcoinc.com
Related Links